![[Ads] Ultrasound Baby Scan 2 close up cropped image of female doctor obstetrici 2023 11 27 05 26 13 utc](https://klinikazurose.com/wp-content/uploads/2023/04/close-up-cropped-image-of-female-doctor-obstetrici-2023-11-27-05-26-13-utc-1024x683.jpg)
An ultrasound scan is a medical procedure that uses high-frequency sound waves to capture images from inside the body. It is a safe and painless method that helps doctors diagnose and treat medical conditions
At Klinik Azurose, we pride ourselves on providing the best ultrasound scanning services in Alam Damai. We utilise state-of-the-art technology and skilled professionals to ensure accurate and reliable results. Our ultrasound scans are performed in a comfortable, safe, and patient-friendly environment
Access to quality ultrasound services is crucial for women’s health and pregnancy care. Ultrasound helps in early detection and diagnosis of potential health issues, ensuring the well-being of both mother and baby throughout pregnancy. It is a safe, painless, and reliable method for monitoring the progress of your pregnancy and assessing your overall reproductive health.
The price of ultrasound baby scan varies depending on the types of scan. In Azurose, our baby scan package starts from RM65 ~ RM160.
![[Ads] Ultrasound Baby Scan 3 2d twin 5w](https://klinikazurose.com/wp-content/uploads/2025/03/2d-twin-5w.jpg)
See your little one for the first time and hear their heartbeat. This Early 2D Scan helps confirm your pregnancy, and estimate your due date. At this stage, the fetus’ vital organs begin to take shape.
![[Ads] Ultrasound Baby Scan 4 2d ultrasound scan cheras](https://klinikazurose.com/wp-content/uploads/2022/03/2D-Growth-Klinik-Azurose.jpg)
As your baby grows, regular monitoring ensures everything is progressing well. A 2D Growth Scan allows you to track your baby’s development, measure key growth markers, and get professional guidance throughout your pregnancy.
![[Ads] Ultrasound Baby Scan 5 Nuchal Scan 2](https://klinikazurose.com/wp-content/uploads/2025/03/Nuchal-Scan-2.jpg)
The Nuchal Translucency Scan helps assess your baby’s risk for certain chromosomal conditions This scan measures the fluid at the back of the baby’s neck and is often combined with blood tests for a more detailed assessment.
![[Ads] Ultrasound Baby Scan 6 detailed scan ultrasound cheras](https://klinikazurose.com/wp-content/uploads/2022/03/Detailed-Scan-Klinik-Azurose.jpg)
For a closer look, the Detailed Scan provides a comprehensive check-up between 18 and 28 weeks. This scan includes a 2D Growth Scan, a Gender Scan, and captures 2 photos and a video.
![[Ads] Ultrasound Baby Scan 7 new](https://klinikazurose.com/wp-content/uploads/2025/03/new.jpg)
See your baby like never before with the 3D, and 4D Scan between 24 and 32 weeks. This session includes a 3D Colour Scan, a Growth Scan, and a Gender Scan. You’ll also receive photos and a video.
Posted on Google aqiff & alysha elinTrustindex verifies that the original source of the review is Google. Doc yg baik dan lemah lembut. Parents yakin dan senang hati dengan penjelasan Doc..terima kasih!Posted on Google Nazmi IqinTrustindex verifies that the original source of the review is Google. Service terbaik,semua ok..memang puas hatiPosted on Google ir. Ts Pak TamTrustindex verifies that the original source of the review is Google. Tadi sy pergi klinik bawa isteri scan.. sekali gus buka buku pink ni anak first kami. Alhamdulillah bnyak ilmu baru yang kami dapat daripada Dr. HIKMAH.. BP, Hb, apa lagi.. Bnyak nasihat dari Dr. Hikmah.. Recommend sngat sebb beliau pakar dgn kerja.. dengar Dr sebut pernah berkhidmat Klinik ibu dan anak.. 🥰🥰 Harap boleh bertemu dgn Dr. Hikmah lagi untuk next appointment.. Klinik tenang dan cantik..Posted on Google Dani DanishTrustindex verifies that the original source of the review is Google. The best clinic ever. My first time here. They helped me removed my AIUD. Doctor Aireen and nurses was very friendly, polite, humble and honest. I never been in a clinic where the doctor really shared good information honestly. Terima kasih membantu saya, saya doakan semoga urusan doctor dan nurses semua dipermudahkan, dan dilimpahkan rezeki yang berkat sentiasa. ❤❤Posted on Google Zati AzlTrustindex verifies that the original source of the review is Google. thanks Dr Farhana ! my fav dr all time @ azurose clinic. I prefer to visit the clinic when Dr. Farhana is on duty, as I feel more comfortable with her.Posted on Google rozita arhamTrustindex verifies that the original source of the review is Google. klinik paling best! Highly recommended. Staff and dr farhana sangat baik.
Choosing Klinik Azurose for your ultrasound scan means opting for quality, compassion, and understanding. Our team is made up of highly trained professionals who prioritise patient comfort and accuracy of results. Our clinic has a well-equipped ultrasound suite, and we use advanced technology to provide clear, detailed images. We believe in transparent communication and will explain the process and findings of your scan in a clear, understandable manner
![[Ads] Ultrasound Baby Scan 8 ultrasound scan cheras](https://klinikazurose.com/wp-content/uploads/2022/02/1-Scan-min.png)
![[Ads] Ultrasound Baby Scan 9 Dr.-Farhana, doctor in alam damai, cheras](https://klinikazurose.com/wp-content/uploads/2022/02/Dr.-Farhana-Klinik-Azurose-768x1024.jpg)
Dr. Farhana received her degree from the Faculty of Medicine, Universitas Gadjah Mada back in 2009. Upon graduation, she was immediately absorbed into the public health sector and received clinical experience in hospitals, clinics and administration departments before then moving into the private sector.
With encouragement and support from family, friends and former patients, Dr. Farhana decided to set up her own general practice in Cheras with the intention of providing an innovative & quality family healthcare.
![[Ads] Ultrasound Baby Scan 10 emas panel doctor, clinic, klinik, cheras, alam damai](https://klinikazurose.com/wp-content/uploads/2023/02/Emas.png)
![[Ads] Ultrasound Baby Scan 11 healthmetrics panel doctor, clinic, klinik, alam damai](https://klinikazurose.com/wp-content/uploads/2023/02/HealthMetrics.png)
![[Ads] Ultrasound Baby Scan 12 medilink panel doctor, clinic, klinik, cheras, alam damai](https://klinikazurose.com/wp-content/uploads/2023/02/MediLink.png)
![[Ads] Ultrasound Baby Scan 13 mednefits panel doctor, clinic, klinik, cheras, alam damai](https://klinikazurose.com/wp-content/uploads/2023/02/Mednefits.png)
![[Ads] Ultrasound Baby Scan 14 peka panel doctor, clinic, klinik, cheras, alam damai](https://klinikazurose.com/wp-content/uploads/2023/02/Peka.png)
![[Ads] Ultrasound Baby Scan 15 pmcare panel doctor, clinic, klinik, cheras, alam damai](https://klinikazurose.com/wp-content/uploads/2023/02/PMCare.png)
![[Ads] Ultrasound Baby Scan 16 redalert panel doctor, clinic, klinik, cheras, alam damai](https://klinikazurose.com/wp-content/uploads/2023/02/RedAlert.png)
![[Ads] Ultrasound Baby Scan 17 selcare panel doctor, clinic, klinik, cheras, alam damai](https://klinikazurose.com/wp-content/uploads/2023/02/SelCare.png)
An ultrasound is a medical procedure which is otherwise known as a scan. This involves high frequency sound waves transmitted through the body and then picked up on a screen.
During pregnancy, a device known as a transducer is used to move along the mother’s abdomen and this sends sound waves via her abdomen and through her uterus. These sound waves bounce off the baby in the form of echoes. A computer picks up the echo messages and translates them onto a screen. As the baby moves and kicks, images can be seen on the ultrasound screen. These sound waves are very high in pitch and intensity and cannot be heard by the human ear.
Most types of ultrasound are a painless and non invasive procedure. However, as you may need to have a full bladder if you are in the early stages of your pregnancy, it can be a little uncomfortable.
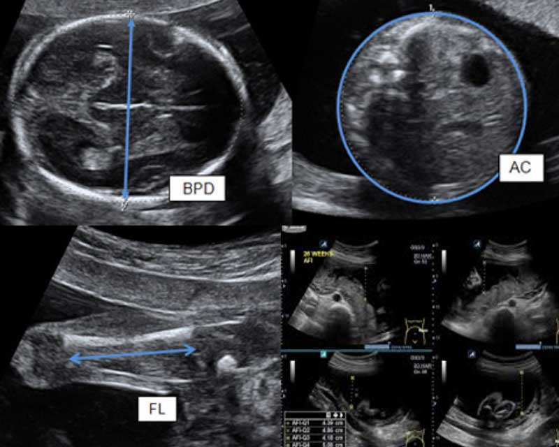
A 2D ultrasound is the standard procedure used during obstetric ultrasound. It is the one used to produce 2 dimensional images of what is happening inside the mothers and baby’s body. Generally, all pregnancy ultrasounds are still done using 2D technology. A baby’s gestation, growth, heartbeat, development and size can all be seen clearly using 2D ultrasound. The position of the placenta, cord and lie/position of the baby can also be clearly seen.
The images from a 2d ultrasound tend to be in black and white and have the same level of detail as a photographic negative. Depending on how the baby is lying and their position in the uterus, different images will be seen.
It really is a matter of luck if the baby is awake and active or having a little sleep when the ultrasound is being done. Some mothers choose to have a sweet or cold drink before the procedure or poke their tummy in an effort to stimulate their baby. Sometimes the images are very clear and it’s easy for parents to interpret the ultrasound images. At other times, this can be a little more difficult. But don t worry; the sonographer can point out specific organs, features and details of the baby if you’re not sure. They can also freeze frame the images, take photos and label different body parts on the screen. With a little explanation, it can all be come a lot clearer!
At any stage during pregnancy. Some health care practitioners recommend 2D ultrasound very early in gestation to:
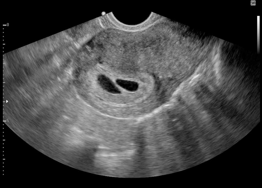
A transvaginal ultrasound still uses the same technology but in a different way. Instead of the transducer being held against a mother’s abdomen, a specially shaped device is inserted into the vagina. It is not as important to have a full bladder for this procedure as the sound waves do not need to travel through as many layers of tissue and muscle. Instead, the sound waves travel through the cervix and straight into the uterus. To reduce the risk of cross infection, the sonographer will apply a disposable condom to the vaginal transducer.
In early pregnancy, a transvaginal ultrasound is a good alternative to abdominal ultrasound as it can provide a much clearer picture of the embryo and its development.
![[Ads] Ultrasound Baby Scan 18 klinik wanita cheras](https://klinikazurose.com/wp-content/uploads/2023/02/Womens-Health.jpg)
Don’t wait for your health concerns to escalate. If you require an ultrasound scan, visit Klinik Azurose in Alam Damai today. With our expert team and cutting-edge technology, we’ll help provide clarity on your health and wellbeing. Call us on 03-8958 7868 to schedule an appointment, or visit our clinic for professional, compassionate care. Your health is our priority!